- >
- >
- >
Лечение внутрипротоковой папилломы в Харькове
Внутрипротоковая (интрадуктальная) папиллома – доброкачественное новообразование, которое развивается в молочных протоках, обычно вблизи ареолы (области вокруг соска). Пройти диагностику и лечение внутрипротоковых папиллом в Харькове можно в отделении маммологии «Европейского Радиологического Центра».
Причины внутрипротоковой папилломы
Внутрипротоковая папиллома является доброкачественным новообразованием молочных протоков, которое может возникнуть из-за повышенного уровня эстрогена в период беременности. Другие причины внутрипротоковой папилломы могут включать:
- возраст старше 35 лет;
- наследственную предрасположенность;
- хронические заболевания молочной железы (мастит, фиброаденому);
- прием гормональных препаратов.
Также папиллома может возникать из-за частых воспалительных процессов молочных желез, таких как мастит, который может вызвать изменения в тканях и способствовать формированию новообразований. Другой причиной может быть нарушение обмена веществ, в частности ожирение, которое также может повысить уровень эстрогенов в организме.
Симптомы внутрипротоковой папилломы
Папилломы могут развиваться в одной или обеих молочных железах. Обычно папилломы представляют собой единичные разрастания от одного до двух сантиметров. Симптомы внутрипротоковой папилломы молочной железы:
- увеличение молочной железы;
- припухлость кожи в области ареолы;
- повышенная чувствительность молочной железы;
- небольшой эластичный комок округлой формы рядом с соском;
- болезненность и дискомфорт в молочной железе.
Интрадуктальная папиллома молочной железы может вызвать кровянистые или водянистые выделения из сосков. Поскольку папиллома имеет схожие симптомы с кистой, липомой и фиброаденомой, при обнаружении уплотнений и боли в молочной железе или выделений из сосков необходимо проконсультироваться с маммологом.

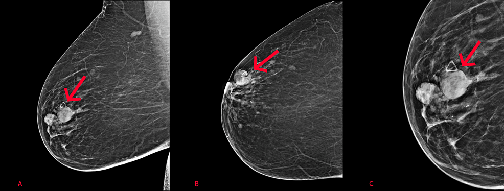
Диагностика папиллом молочной железы в Харькове
Перед началом лечения папиллом молочной железы маммолог анализирует жалобы пациентки и собирает анамнез. Диагностика внутрипротоковых папиллом включает:
- осмотр тканей, ареол и сосков. Проводится для оценки состояния молочной железы (например, покраснение кожи, отечность, выделения, изменение формы и размера);
- пальпация тканей молочной железы и лимфатических узлов. Позволяет определить форму, локализацию и предварительно установить тип уплотнения, локализацию боли;
- УЗИ молочных желез. Назначается для оценки структуры тканей, установления наличия, размера, вида и количества патологических образований в молочной железе, осмотра регионарных подмышечных лимфатических узлов.
При необходимости уточнения диагноза маммолог также может направить на МРТ молочных желез. Для определения природы опухоли назначается биопсия под контролем УЗИ. В зависимости от предполагаемого типа образования выполняются разные виды биопсии (трепан-биопсия или тонкоигольная аспирационная биопсия).

Лечение папиллом молочной железы в Харькове
При папилломе молочной железы показано хирургическое лечение. Во время операции удаляется внутрипротоковая папиллома и проток, в котором она расположена. Необходимость оперативного лечения связана с возможностью со временем перерождения внутрипротоковой папилломы в рак.
Внутрипротоковая папиллома при беременности удаляется в случае большого размера нароста, высокого риска перерождения новообразования из доброкачественного в злокачественное, болезненности. Удаление папилломы обычно назначается после родов.
Записаться на консультацию к маммологу и лечение внутрипротоковой папилломы в Харькове в «Европейском Радиологическом Центре» можно по телефону, указанному на сайте.
Фиброаденома: что это и как её лечить?
Мастит: симптомы, причины и лечение
ГВ (грудное вскармливание): как оно влияет на здоровье малыша и как правильно кормить грудью?
Check Up программы
Медицинские декларации
НСЗУ